Одномоментная имплантация и немедленное временное протезирование на имплантатах системы Bicon в переднем отделе верхней челюсти

Пациент (18 лет) обратился в клинику в начале 2004 года с жалобами на болевые ощущения при накусывании и дискомфорт в области левого переднего резца верхней челюсти. Год назад была травма передних зубов верхней челюсти, при последующем стоматологическом лечении оба передних резца были депульпированы. При осмотре был обнаружен свищевой ход в области 21, отек и гиперемия слизистой оболочки, на прицельной рентгенограмме: очаг разряжения костной ткани в области 21 с нечеткими границами, неплотная обтурация корневого канала. Пациенту было предложено удаление 21 и в последующем имплантация с восстановлением этого зуба искусственной коронкой. От предложенного лечения пациент отказался.

Через полтора года пациент повторно обратился в клинику с жалобами на дискомфорт и болезненность при накусывании в области правого переднего резца верхней челюсти, нарушение жевания. Левый резец был удален. Отсутствие зуба было восстановлено адгезивной конструкцией: стекловолоконной шиной от клыка до клыка, 21 зуб был смоделирован из композита. Перкуссия 11 зуба была положительной. На прицельной рентгенограмме определялся дефект боковой стенки корня 11 справа в верхней трети.

Поставлен диагноз: Частичная потеря зубов верхней челюсти.

Предложен план лечения:

  1. Профессиональная гигиена полости рта.
  2. Изготовление временных коронок на 11 и 21.
  3. Удаление 11, имплантация Bicon в позиции 11 и 21, установка и временных коронок на протезах 11 и 21.
  4. Протезирование зубов — изготовление и установка постоянных коронок на имплантаты Bicon в области 11 и 21.

1. Прицельная рентгенограмма верхней челюсти (передние резцы) при первом обращении пациента (2004 год).

2. Прицельная рентгенограмма передних резцов верхней челюсти через 1,5 года: трещина корня 11, явный дефект костной ткани.

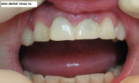
3. Вид до операции.

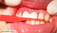
4. Рассечение круговой связки перитомом.

5. Удаление зуба.

6. Кюретаж, контроль сохранности вестибулярной стенки лунки.

7. Снятие размеров, определение глубины препарирования ложа имплантата.

8. Процесс препарирования ложа имплантата со смещением в сторону неба.

9. Расширение ложа остеотомом.

10. Вид имплантата на имплантоводе.

11. Установка имплантата.

12. Вид установленных имплантатов Bicon с заглушками.

13. Установка абатментов на имплантаты.

14. Установка на абатменты стандартных пластиковых колпачков для изготовления временных реставраций.

15. Интраоральное препарирование абатментов и колпачков.

16. Интраоральное препарирование абатментов и колпачков.

17. На препарированные колпачки и абатменты примеряются временные коронки, изготовленные заранее.

18. Перебазировка временных коронок в ротовой полости. Используется пластмасса SNAP (Parcel, USA).

19. Временные коронки после перебазировки.

20. Временные коронки после перебазировки – увеличенный снимок. Можно заметить, что по краю абатмента в основании коронок расположены стандартные пластмассовые колпачки. Стоматологическая система Bicon не имеет винтов, что значительно упрощает процедуру изготовления временных коронок с опорой на имплантаты.

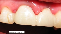
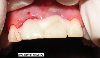
21. Примерка коронок после перебазировки, коррекция окклюзии.

22. Абатменты до фиксации временных коронок.

23. Вид зафиксированных на абатментах временных коронок. Они присоединены к соседним зубам с помощью светоотверждаемого композита.

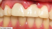
24. Временные коронки после установки.

25. Временные коронки после установки.

26. Временные коронки сразу после установки при сомкнутых зубах.

27. Улыбка пациента после установки временных коронок.

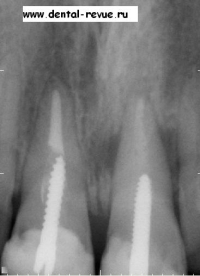
28. Диагностическая прицельная рентгенограмма переднего ряда верхней челюсти после операции перед установкой временных коронок.

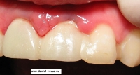
29. Ткани десны спустя неделю после оперативного вмешательства. Жалоб нет, фиксация коронок хорошая.

30. Улыбка пациента спустя неделю.

31. Удаленный зуб (11) с отмеченным участком посттравматической наружной резорбции корня.