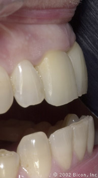
Восстановление двух центральных резцов верхней челюсти

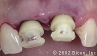
Удаление центральных резцов верхней челюсти

Дооперационная рентгенограмма

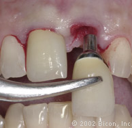
Формирование ложа имплантанта

Paralelling Pins

Pilot drill

Osteotomy

Curette

Установка двух 5.0mm x 8.0mm HA имплантантов Bicon

Определение направления оси и глубины шахты имплантантов

Abutment Shoulder Gauge

Вид после установки

Установка двух 5.0mm x 4.0mm Stealth Shouldered Abutment

Stealth One-Piece Acrylic Sleeves

Изготовление временной конструкции по шаблону

Использование самотвердеющей пластмассы для изготовления временной конструкции

Подготовка для установки временной конструкции

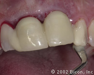
Установка временной конструкции

Рентгенограмма сразу после первого посещения

Две части: имплантант и абатмент. Никаких винтов и дополнительных креплений, которые создают условия для проникновения бактерий из-за неплотного прилегания частей конструкции.

Вид спустя десять недель после установки имплантантов

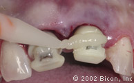
Установка двух 3.0mm Impression Post

Снятие слепка и подбор цвета

Установка временной и изготовление постоянной конструкции

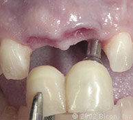
Подготовка к установке постоянной конструкции

Произведены послабляющие разрезы

Установка готовых конструкций

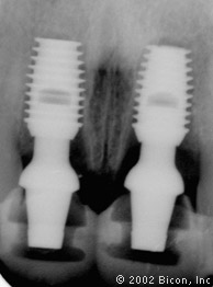
Рентгенограмма спустя тринадцать недель после установки имплантантов Bicon

Плотный контакт «металл – металл» абатмента и стенок имплантанта обеспечивает надежную фиксацию и бактериальную непроницаемость соединения

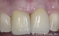
Окончательный результат. Превосходная эстетика!