Расщепление с двухэтапной имплантацией и протезирование интегрированными коронками IAC

В данном случае продемонстрирована имплантация, происходящая в два этапа, процесс снятия слепка и протезирование боковых резцов интегрированными коронками Bicon

Первый клинический визит

1. Вид челюсти пациента до того, как были сняты мосты.

2. Вид челюсти после снятия мостов.

3. Улыбка пациента до операции.

4. Радиограмма перед проведением операции.

5. Ретракционные швы, удерживающие два небных лоскута.

6. Пилотная остеотомия верхнего правого бокового резца 2.0мм бором на 1100 RPM с внешним орошением.

7. Пилотная остеотомия верхнего левого бокового резца 2.0мм бором на 1100 RPM с внешним орошением.

8. Штифты параллельности, показывающие положение и направление остеотомии.

9. Кость собирается в лопасть зеленой фрезы размером 2,5 мм, используемой со скоростью 50 RPM без охлаждения.

10. Расширение лунки с помощью зелено-голубой фрезы размером 3,5 мм, используемой со скоростью 50 RPM без охлаждения.

11. Костная ткань собрана в лопасть 3,0 мм фрезы.

12. Расщепление костной ткани с помощью расширяющего долота 5,5 мм в области верхнего левого бокового резца.

13. Расширение лунки с помощью голубой ручной фрезы размером 3,5 мм, закрепленной на прямом держателе.

14. Костная ткань, собранная в лопасть 3,5 мм фрезы.

15. Расширение лунки с помощью красной ручной фрезы размером 4,0 мм, закрепленной на ручном держателе.

16. Удаление обломков кости кюретой и проверка целостности стенок лунки.

17. Костная ткань, собранная в лопасть серебристой ручной фрезы размером 4,5 мм.

18. Введение имплантата 4.5х8.0мм в лунку с помощью специального инструмента.

19. Введение имплантата 4.5х8.0мм в лунку с помощью специального инструмента.

20. С помощью посадочного адаптера и прямого держателя имплантат досаживают до конца методом постукивания.

21. Установка направляющих штифтов 3,0 мм внутрь имплантатов.

22. Установка в имплантат обрезанной пластиковой заглушки.

23. Закрытие имплантата собранной костной тканью.

24. Рентгеновский снимок после операции.

Второе посещение клиники спустя 14 недель.

25. Внешний вид после извлечения временных протезов.

26. Для раскрытия верхнего бокового правого резца сделан надрез.

27. Извлечение заглушки с помощью специального инструмента.

28. Извлечение заглушки с помощью специального инструмента.

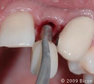
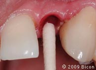
29. Удаление излишков мягких тканей, которые могут препятствовать правильной установке трансфера, производится посредством слепочного римера размером 3 мм, вращаемого вокруг направляющего штифта.

30. Коронка, зацементированная на правом клыке.

31. Подрезка зеленого 3,0 мм трансфера – эта операция позволит избежать соприкосновения с соседними зубами, которое может изменить траекторию движения аналога.

32. Установка пластикового слепочного трансфера в имплантат.

33. Досаживание трансфера после цементирования коронки на левом верхнем клыке.

34. Нанесение слепочной массы вокруг трансферов и снятие слепка по уровню имплантата.

Третий визит: месяц спустя

35. Интегрированные коронки IAC на гипсовой модели.

36. Интегрированные коронки IAC. Основание абатмента полусферической формы закрыто композитным материалом.

37. Временные коронки до замены.

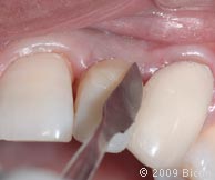
38. Удаление временной коронки.

39. Удаление временной коронки.

40. Очистка колодца имплантата ватным аппликатором и установка интегрированной коронки.

41. Очистка колодца имплантата ватным аппликатором и установка интегрированной коронки.

42. Проверка пассивных межпроксимальных контактов с помощью полировочной штрипсы с алмазным напылением.

43. Моделирующий состав до нанесения на интегрированную коронку IAC.

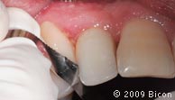
44. Засвечивание нанесенного моделирующего состава.

45. Композит Ceramage до нанесения на интегрированную коронку IAC.

46. Нанесение состава Ceramage на межпроксимальные поверхности интегрированной коронки.

47. Процесс засвечивания бондинга.

48. Очистка колодца имплантата ватным аппликатором, смоченным в спиртовом растворе.

49. Очистка колодца имплантата ватным аппликатором, смоченным в спиртовом растворе.

50. Процесс установки интегрированной коронки IAC.

51. Процесс установки интегрированной коронки IAC.

52. Нанесение композитного материала Ceramage в пришеечной области интегрированной коронки.

53. Нанесение композитного материала Ceramage в пришеечной области интегрированной коронки.

54. Процесс засвечивания композита.

55. Производится полировка интегрированной коронки с помощью акрилового диска.

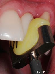
56. Вид интегрированной коронки в устройстве для установки коронок. Изготовление пластмассового посадочного шаблона.

57. Установка IAC с новыми контурами.

58. Установка IAC.

59. Проверка межпроксимальных контактов посредством зубной нити.

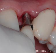
60. Правильное позиционирование коронки по длинной оси штифта абатмента и ложа имплантата происходит с помощью желтого посадочного шаблона из термопластмассы, изготовленного заранее. Шаблон закрепляют на прямом держателе.

61. Правильное позиционирование коронки по длинной оси штифта абатмента и ложа имплантата происходит с помощью желтого посадочного шаблона из термопластмассы, изготовленного заранее. Шаблон закрепляют на прямом держателе.

62. Излишки композита с межпроксимального контакта удаляются с помощью полировочной штрипсы с алмазным напылением. Это необходимо для облегчения процесса активации конусного соединения.

63. При помощи полировочной штрипсы с алмазным напылением удаляем излишки композита с межпроксимального контакта, чтобы облегчить активацию конусного соединения.

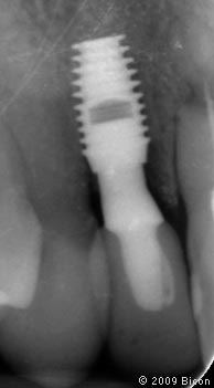
64. Рентгенограмма после установки

65. Рентгенограмма после установки

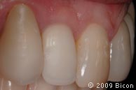
66. Вид интегрированной коронки (IAC).

67. Вид интегрированной коронки (IAC).

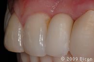
68. Вид спереди.

Четвертый визит: два месяца спустя

69. Вид интегрированной коронки (IAC) в прикусе.

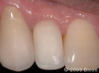
70. Снимок сделан через два месяца после установки.

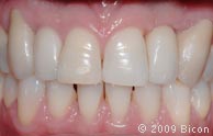
71. Интегрированные коронки (IAC)

Пятый визит: семь месяцев спустя

72. Через семь месяцев после установки.

73. Через семь месяцев после установки: правая сторона.

74. Через семь месяцев после установки: левая сторона.

75. Через семь месяцев после установки: фронтальная область.

76. Улыбка пациента

77. Через семь месяцев после установки: рентгенограмма.

78. Через семь месяцев после установки: рентгеновский снимок.